Anatoli V. Melechko

Surface patterning of silica nanostructures using bio-inspired templates and directed synthesis

Coffman, E.A., A.V. Melechko, D.P. Allison, M.L. Simpson, and M.J. Doktycz, 
Langmuir
, 2004. 2004(20): p. 8431-8436.
 

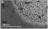
Natural systems excel in directing the synthesis of inorganic materials for various functional purposes. One of the best-studied systems is silica synthesis, as occurs in diatoms and marine sponges. Various biological and synthetic polymers have been shown to template and catalyze silica formation from silicic acid precursors. Here, we describe the use of poly-L-lysine to promote the synthesis of silica in neutral, aqueous solution and when immobilized onto a silicon support structure under similar conditions. Either reagent jetting or conventional photolithography techniques can be used to pattern the templating polymer. Spots created by reagent jetting led to the creation of silica structures in the shape of a ring that may be a result of the spotting process. Photolithographically defined poly-L-lysine spots led to thin laminate structures after exposure to a dilute aqueous silicic acid solution. The laminate structures were nanostructuredandhighly interconnected. Photolithographic patterning of (3-aminopropyl)trimethoxysilane, a reagent that mimics the lysine functional group, led to similar silica coatings even though low-molecularweight materials do not rapidly promote silica synthesis in solution. This result highlights the importance of functional-group arrangement for templating and promoting the synthesis of inorganic materials. The described surface-patterning techniques offer a route to integrate conventional silicon-patterning technologies with biologically based material synthesis. Such combined fabrication techniques enable controlled assembly over multiple length scales and an approach to understanding interfacial silica synthesis, as occurs in natural systems.

pdf file